症例紹介
頭頂部の腫瘤 ーその1ー
<症例>
犬種:トイプードル 年齢:8ヶ月 性別:去勢雄
「頭頂部が腫れている」とのことで来院しました。
触ってみると大きな膨らみが確認できます。
詳しく見るために毛を刈りましたが、頭皮自体に外傷などの異常はみられませんでした。
穿刺を行ったところ膿が採取できました。
排膿のため切皮したところ、膿に混じって中から体毛と同様な黒い被毛が何本も出てきました。
中の被毛を除去して膿を洗浄除去して抗菌剤を投与し一旦は治癒しました。
しかし3ヶ月後に再び同一箇所が同じように膨らんできました。中からは初めと同様に膿と被毛が排出されました。
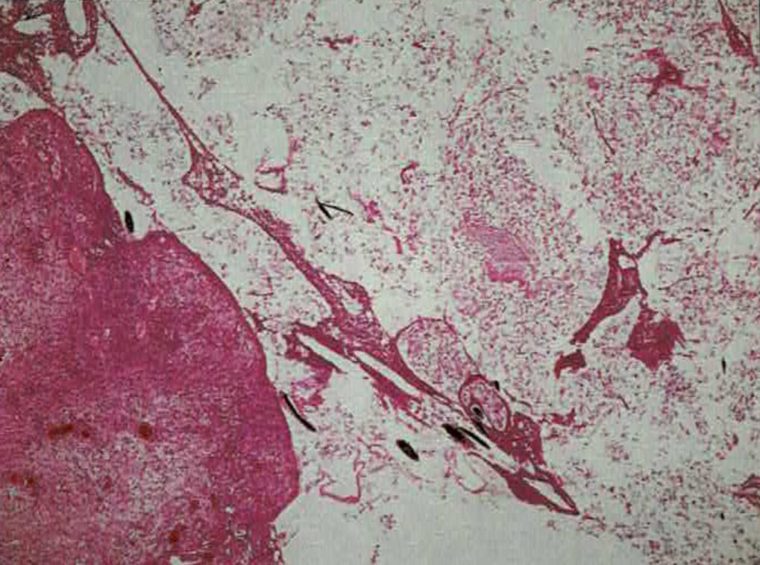
頭部の皮膚または皮下組織に何らかの原因があり再発を繰り返す可能性があるため、全身麻酔をして頭頂部皮膚を切開除去し病理組織検査を行いました。


摘出した腫瘤の上半分の中央辺りに見える物が黒い毛です。
病理検査の結果「破綻性毛包嚢胞」と診断されました。

毛包嚢胞は毛包組織由来の非腫瘍性の嚢胞性病変です。
通常であれば表皮の毛穴の部分から体の外に向かって毛は生えますが毛包を含む嚢胞が皮内で破裂し炎症を起こし皮内に膿と被毛が貯留したものと思われます。
手術により破綻した毛包嚢胞を除去したため患部はきれいに治癒しその後の再発もありません。
この症例は大変まれなケースだと思います。

こちらは抜糸時の写真です。

1ヶ月後、毛も生えてきてすっかりきれいになり再発もありません。
