症例紹介
子宮蓄膿症

子宮蓄膿症は、子宮内に細菌感染を起こし大量に膿汁が貯留する病気です。

子宮は妊娠すると中で胎児を育てる器官なので内容量が多く想像以上に大量の膿汁が貯留されます。

子宮内の細菌感染は卵巣からのホルモンの異常により子宮内膜が増殖し分泌物が多くなることにより引き起こされます。

子宮蓄膿症になると、腹部が大きく膨らんでくる、嘔吐をする、多飲・多尿になる、食欲不振で元気がなくなる、外陰部から膿汁が出るなどの症状があります。

しかしこれらの特徴的な症状がわかりにくい場合もあります。

また飼い主が外陰部からの異常な分泌を発情出血と思っている場合もおおくあります。

この病気は未経産または長期間お産していない高齢の犬・猫に発症しやすい傾向があります。

子宮蓄膿症は放置しておいたり、発見が遅れたりすると死亡する場合もあり、また重篤な腎臓障害が後遺症となる場合もあります。

 

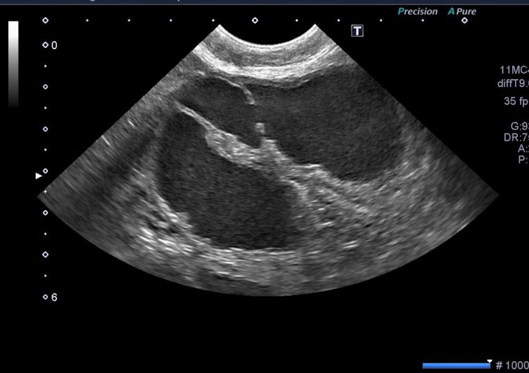
動物病院では症状、血液検査、レントゲン検査、超音波画像診断検査などにより子宮蓄膿症をほぼ正確に発見診断できます。

子宮蓄膿症の治療は外科手術による子宮・卵巣摘出術が最良とされています。

抗生物質などにより一時的に症状が緩和されても卵巣からの異常ホルモンがなくならない限り完治しません。

繁殖を希望しない場合は若いうちに避妊手術をしておくと高齢になってから子宮蓄膿症になることはありません。

カテゴリー
  • 症例紹介 (21)
  • BLOG (35)
  • ページの先頭へ