ウィンドウを閉じる × 

超音波検査


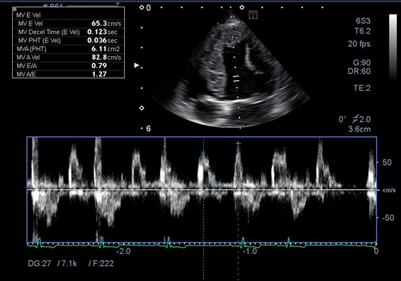
僧帽弁閉鎖不全症

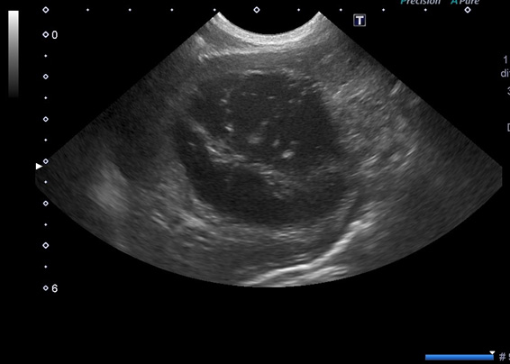
胆嚢粘液嚢腫

外見からはわからない体の各臓器(循環器、消化管、肝臓、泌尿器、生殖器、関節など)の動きや性状をリアルタイムで確認することができます。
超音波を発するプローブを体の表面から見たい臓器の位置に当てて映し出される断層画像により診断します。検査には痛みなどがないため動物側の負担が少なく行うことができます。
正確な診断を行う上で、確認する臓器の位置によっては毛を刈らせていただく場合がありますのでご了承ください。